გადაწყვეტილი კბილები - საქართველო
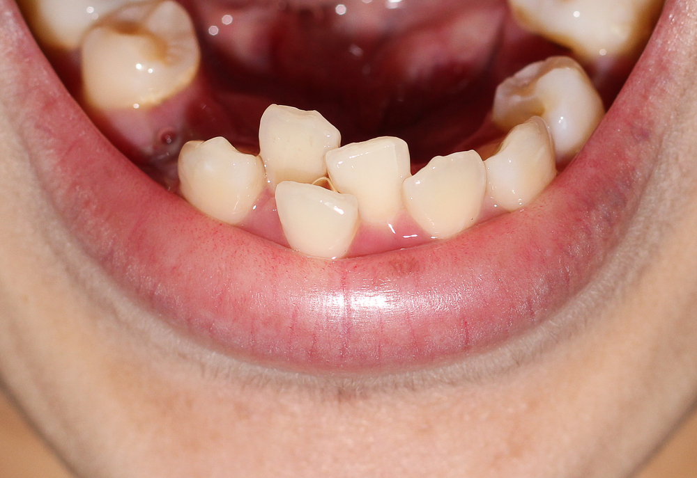
გადაწყვეტილი კბილები, ასევე ცნობილი როგორც კბილების გადატვირთვა ან მალოკლუზია, არის სტომატოლოგიური მდგომარეობა, როდესაც კბილები არ არიან სწორად მიუერთებული ყბების შიგნით. ეს შეწუხება შეიძლება გამოიწვიოს კბილების გადაკვეთას, რაც გამოიწვევს გადატვირთულ ვიზუალს.
გადაწყვეტილი კბილები, მათ შორის:
- 1. გენეტიკა: თქვენი ყბის და კბილების ზომა ძირითადად განისაზღვრება თქვენი გენეტიკით. თუ თქვენი ყბა ძალიან პატარაა ყველა კბილის გასაჭრელად, გადატვირთვა შეიძლება მოხდეს.
- 2. კბილების ზომა და ფორმა: კბილების ზომის და ფორმის განსხვავებები ასევე შეიძლება იყოს გადაწყვეტილი კბილების მიზეზი. თუ ზოგიერთი კბილი უფრო დიდი ან ფართოა ვიდრე სხვა, ისინი შეიძლება არ მოერგოს სწორად ფიზიოლოგიურ არჩში, რაც გამოიწვიოს გადატვირთვა.
- 3. პრაიმარი კბილების ვადამდელი დაკარგვა: თუ პრაიმარი (ბავშვური) კბილები დაკარგება ძალიან ადრე, ეს შეიძლება დაარღვიოს მუდმივი კბილების ჩვეულებრივი გაჩენის ფორმა, რაც გამოიწვიოს მათ გადატვირთულ ან შეწუხებულ მდგომარეობაში გაჩენა.
- 4. წუნი წოვილი ან პაჩიფერი გამოყენება: ხანგრძლივი წუნი წოვილი ან პაჩიფერის გამოყენება შეიძლება დაჭეროს განვითარებადი კბილები და ყბები, რაც გამოიწვიოს კბილების არასწორი ფორმირება.
- 5. ორალური ჩვევები: გარკვეული ორალური ჩვევები, როგორიცაა ენის გაწვრთნა (ენის წინადადების წინ მოქცევა) ან პირის სუნთქვა, შეიძლება გავლენას მოახდინოს კბილების პოზიციაზე დროთა განმავლობაში.
გადაწყვეტილი კბილები შეიძლება ჰქონდეს სხვადასხვა შედეგები, მათ შორის:
- 1. Estetika: გადატვირთული ან გადაკვეთილი კბილები შეიძლება გავლენა მოახდინოს თქვენს ღიმილზე და საერთო ვიზუალზე, რაც შესაძლოა გამოიწვიოს თვითდასჯა ან სუნთქვის ნაკლებობა.
- 2. სტომატოლოგიური ჰიგიენის სირთულეები: გადატვირთული კბილები შეიძლება გაუადვილოს კბილების სუფთა გაწმენდა, რაც გაზრდის კბილების შაქრის, ძველმოწერის დაავადების და ცუდი სუნის რისკს.
- 3. ბალანსის პრობლემები: არასწორი კბილები შეიძლება გამოიწვიოს არასწორი ბალანსი, რაც გამოიწვიოს ჭამაში სირთულეები და შესაძლოა გამოიწვიოს ყბის ტკივილი ან ტემპორომანდიბულური (TMJ) დარღვევები.
გადაწყვეტილი კბილების მკურნალობის ვარიანტები დამოკიდებულია მდგომარეობის სირთულეზე. მსუბუქ შემთხვევებში შეიძლება რეკომენდირებული იყოს ორთოდონტიული მკურნალობა ბრეკებით ან გამჭვირვალე დამწყვდებით, რომლებიც თანდათან გადაადგილებენ კბილებს სწორი პოზიციისკენ. უფრო სერიოზულ შემთხვევებში, შეიძლება საჭირო იყოს ერთი ან მეტი კბილის ამოღება სწორად ალაგების სივრცის შესაქმნელად. ზოგიერთი შემთხვევებში შეიძლება საჭირო იყოს ორთოგნატიული ქირურგია (ყბის ქირურგია) მნიშვნელოვანი ყბის განსხვავებების შესწორებლად.
თუ გაქვთ შეშფოთება გადაწყვეტილი კბილების შესახებ, საუკეთესოა კონსულტაციები ორთოდონტთან ან სტომატოლოგთან, რომელიც სპეციალიზირებულია ორთოდონტიულ მკურნალობაში. ისინი შეძლებენ თქვენი კონკრეტული შემთხვევის შეფასებას და რეკომენდაციას გაწვდოს ყველაზე შესაფერისი მკურნალობის ვარიანტებზე ჯანმრთელი, სწორი ღიმილის მისაღწევად.
