ოპერაციული კბილების ამოღება - საქართველო
ოპერაციული კბილების ამოღება, ასევე ცნობილი როგორც კბილის ექსტრაქცია ან სტომატოლოგიური ექსტრაქცია, არის პროცედურა, რომელიც სტომატოლოგმა ან ორლის ქირურგმა უნდა მოახდინოს კბილის ამოღება მისი ადგილზე ჯახარებში. მიუხედავად იმისა, რომ ბევრი კბილის ამოღება შეიძლება გაკეთდეს მარტივი პროცედურით სახელწოდებით "რუტინული ექსტრაქცია," ზოგიერთი შემთხვევა მოითხოვს ოპერაციულ მიდგომას.
აქ არის სიტუაციები, როდესაც ოპერაციული კბილების ამოღება შეიძლება საჭირო იყოს:
- 1. დაბლოკილი ჭრილები: ჭრილები, ასევე ცნობილი როგორც მესამე მოლარები, ხშირად ხდება დაბლოკილი ან დამალული ჯახარებში ან ღრძილებში. თუ ისინი არ გამოჩნდებიან სწორად ან იწვევენ პრობლემებს, როგორიცაა ტკივილი, ინფექცია ან გარშემოსავე კბილების დაზიანება, ოპერაციული ექსტრაქცია შეიძლება რეკომენდირებული იყოს.
- 2. გატეხილი ან მოჭრილი კბილები: როდესაც კბილი ძლიერი დაზიანების ან ჩაღრმოების გამო გაწვდილი ან მოჭრილი არის, სტომატოლოგი შესაძლოა საჭირო გახდეს ოპერაციული ექსტრაქციის ჩატარება. ასეთ შემთხვევებში, კბილი შეიძლება იყოს სირთულეის შესამჩნევი ან ხელმისაწვდომი, რაც ოპერაციულ მიდგომას საჭიროებს.
- 3. სერიოზულად დაზიანებული ან ინფიცირებული კბილები: კბილები, რომლებიც სერიოზულად გაწვდილი, ინფიცირებული ან დაზიანებული აღდგენას ვერ პოულობენ, შეიძლება მოითხოვოს ოპერაციული ექსტრაქცია. ეს ხშირად ხდება მაშინ, როდესაც კბილი ვერ აღდგება სხვა სტომატოლოგიური პროცედურებით, როგორიცაა ფესვების არხების მკურნალობა.
- 4. ძალიან გადატვირთული კბილები ან ორთოდონტიული მკურნალობა: ზოგჯერ, კბილები უნდა მოიხსნას სწორად მიმართული სივრცისთვის, განსაკუთრებით ორთოდონტიული მკურნალობის დროს, როგორიცაა ბრეკეტები. ასეთ შემთხვევებში, სტომატოლოგი ან ორთოდონტი შეიძლება რეკომენდოს ოპერაციული ექსტრაქცია სასურველი შედეგების მისაღებად.
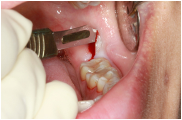
ოპერაციული კბილების ამოღების დროს, სტომატოლოგი ან ორლის ქირურგი ადგილობრივი ანესთეზიას გააკეთებს კბილის გარშემო ტერიტორიის ნამი. ზოგიერთ შემთხვევაში, ზოგადი ანესთეზია შეიძლება გამოყენებულ იქნას, განსაკუთრებით როდესაც რამდენიმე კბილი უნდა მოიხსნას ან პროცედურა კომპლექსურია. სტომატოლოგი შემდეგ სვამს გაწვდილი კბილის ქსოვილის ჭრილობას სახსარში, რათა მოამზადოს კბილი და ძვალი. ისინი შეიძლება საჭირო იყოს ნაწილობრივ კბილის მოცილება ან მისი გაყოფა პატარა ნაწილებად მისი ამოღების გასამარტივებლად. კბილის ამოღების შემდეგ, ადგილი ჩვეულებრივ შედგება, და ქაოზი მოიმართება ამოღების ადგილას სისხლის კონტროლისთვის.
ოპერაციის შემდეგ მნიშვნელოვანია სტომატოლოგის ინსტრუქციების დაცვა, რაც შეიძლება მოიცავდეს წამლების მიღებას, სველი პაკეტების გამოყენებას ანთების შესამცირებლად, ზოგიერთი საკვების ან აქტივობების თავიდან აცილებას და სწორად ორალური ჰიგიენის შენარჩუნებას.
ყურადღება მიაქციოს, რომ ოპერაციული კბილების ამოღება ჩვეულებრივი სტომატოლოგიური პროცედურაა, და სტომატოლოგები და ორლის ქირურგები გამოცდილები არიან მისი უსაფრთხო და ეფექტური შესრულებით. თუ კბილის ამოღება გჭირდებათ, უმჯობესია მიმართოთ სტომატოლოგიურ სპეციალისტს, რომელიც შეაფასებს თქვენს კონკრეტულ სიტუაციას და განსაზღვრავს ყველაზე შესაბამის მკურნალობის გეგმას.
