სიდნეის სამეფო ესთეტიკა

ღრძილების რეცესიის მკურნალობა


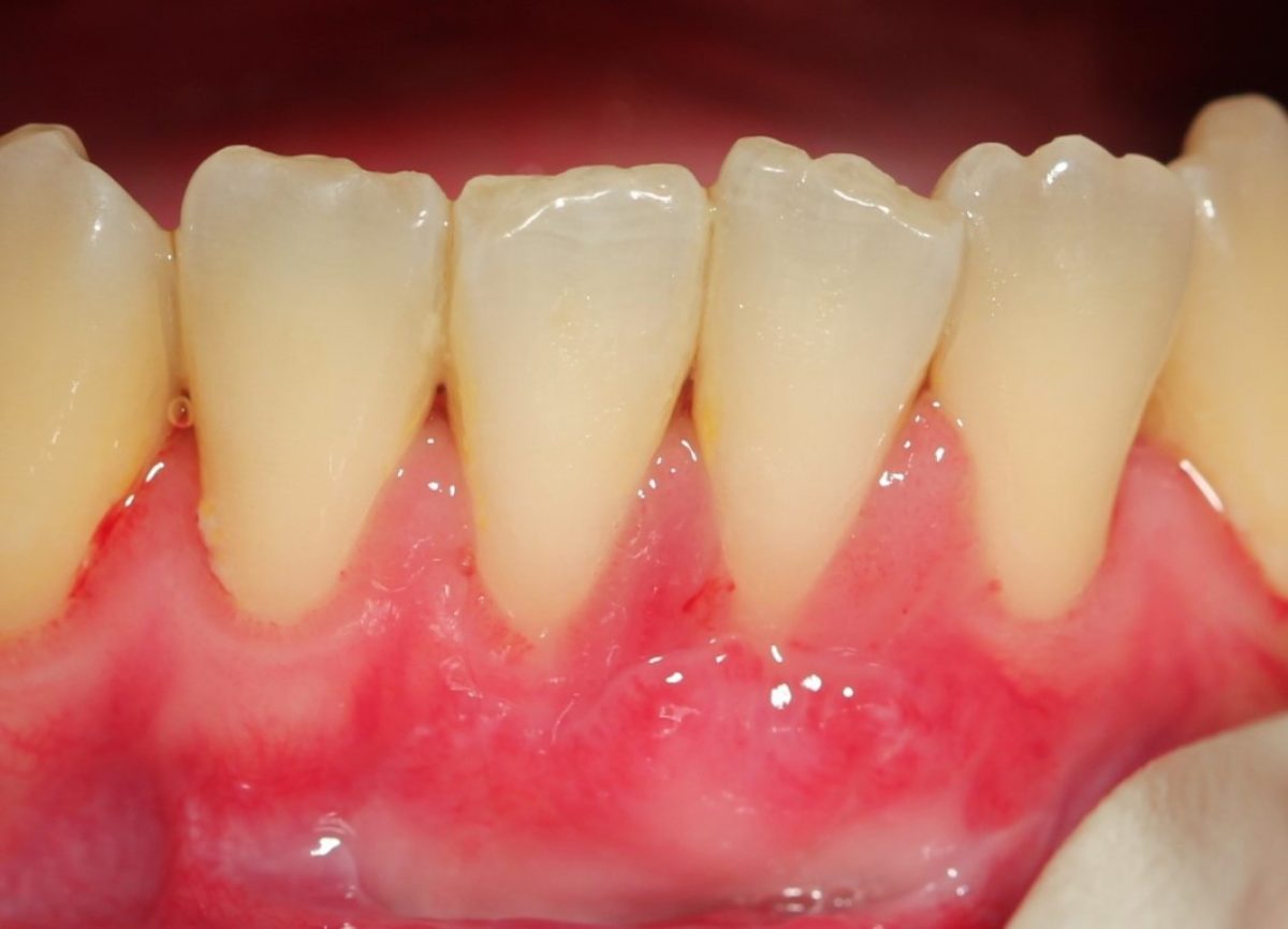
ღრძილების შემცირება - საქართველო

ღრძილების შემცირება ხდება, როდესაც ღრძილების ქსოვილი, რაც თავის გარშემო არის, აცვიათ ან უკან იწევს, exposing the tooth roots. ეს შეიძლება იყოს გამოწვეული სხვადასხვა ფაქტორებით, როგორიცაა ღრძილების დაავადება, აგრესიული ტანახვა, გენეტიკა, ჰორმონალური ცვლილებები და არასათანადო სტომატოლოგიური მოვლა.


ღრძილების შემცირების მკურნალობა დამოკიდებულია სირთულესა და ძირითადი მიზეზზე. აქ არის რამდენიმე საერთო მკურნალობის ვარიანტი:


  1. 1.  მასშტაბირება და ძირების გათანაბრება: თუ ღრძილების შემცირება გამოწვეულია ღრძილების დაავადებით (პერიოდონტიტი), შეიძლება რეკომენდირდოს ღრმა გაწმენდის პროცედურა სახელად მასშტაბირება და ძირების გათანაბრება. ეს მოიცავს ტარტარისა და ბაქტერიების მოცილებას ღრძილების ხაზი ქვემოთ და ძირების ზედაპირების გაწვდვას ღრძილების ქსოვილის ხელახალი დანართვის წახალისების მიზნით.
  2. 2.  ღრძილების გრაფტი: ეს ქირურგიული პროცედურა მოიცავს ქსოვილის აღებას თქვენი პირის სხვა ნაწილიდან, ჩვეულებრივ მრისხანების ნაწილიდან (პალატა), და მისი გაწვდვას ღრძილების შემცირებული ნაწილის ზედაპირზე. გაწვდილი ქსოვილი ხელს უწყობს გამოაშკარავებული ძირების დაფარვას და ახალი ღრძილების ქსოვილის ზრდას.
  3. 3.  პინჰოლის ქირურგიული ტექნიკა (PST): ეს მინიმალურად ინვაზიური პროცედურა ალტერნატიული მეთოდია ღრძილების გრაფტის მიმართ. ეს მოიცავს მცირე ხვრელის შექმნას ღრძილების ქსოვილში შემცირებული ნაწილის სიახლოვეს და სპეციალიზებული ხელსაწყოების გამოყენებას ღრძილების ქსოვილის ნელ-ნელა repositioning-თვის გაწვდილი ძირების ზედაპირზე. კოლაგენის ზოლები ან გრაფტის მასალები შეიძლება გამოიყენოს ღრძილების ქსოვილის სტაბილიზაციისთვის.
  4. 4.  მედიკამენტები: ღრძილების შემცირების მიზეზზე დამოკიდებული, თქვენი dentist ან პაროდონტოლოგი შეიძლება გაწვდოს ანტიმიკრობული mouthwashes ან გელები ბაქტერიული ინფექციის კონტროლისა და გამოჯანმრთელების წახალისების მიზნით. რეცეპტით გაწვდილი ტ Toothpaste ან გელი, რაც შეიცავს სენსიტიური აგენტებს, შეუძლია დაეხმაროს tooth sensitivity-ის შემსუბუქებაში.
  5. 5.  ორთოდონტიული მკურნალობა: თუ malocclusion (არასწორად ალაგებული teeth) ხელს უწყობს ღრძილების შემცირებას, ორთოდონტიული მკურნალობა შეიძლება რეკომენდირდოს teeth-ის თანმიმდევრობის გამოსასწორებლად. teeth-ის repositioning-ით, შეიძლება შეამციროს ღრძილების ქსოვილის დაძაბულობა და გააუმჯობესოს ღრძილების ჯანმრთელობა.

მნიშვნელოვანია აღინიშნოს, რომ ღრძილების შემცირების მკურნალობა მიმართულია ძირითადი მიზეზის შესანახავად, შემდგომი შემცირების თავიდან ასაცილებლად და ღრძილების ქსოვილის რეგენერაციის წახალისებისათვის. რეგულარული სტომატოლოგიური შემოწმებები, კარგი პირადი ჰიგიენის პრაქტიკა (მათ შორის სწორი გაწმენდისა და საყლაპავი ტექნიკები), და ჯანმრთელი ცხოვრების წესი მნიშვნელოვანი არის ღრძილების ჯანმრთელობის შენარჩუნებისთვის და ღრძილების შემცირების თავიდან ასაცილებლად. ყოველთვის კონსულტაციით სტომატოლოგიურ პროფესიონალთან, რათა განსაზღვროს ყველაზე შესაფერისი მკურნალობის მიდგომა თქვენი კონკრეტული სიტუაციისთვის.


Gum Recession Treatment საქართველო