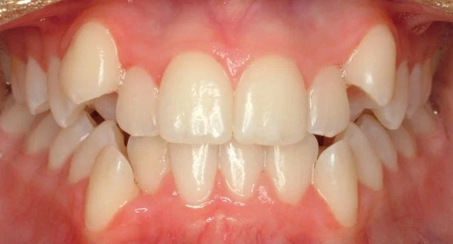
გაჭიმული ფრჩხილების მკურნალობა - საქართველო
გაჭიმული ფრჩხილები, ასევე ცნობილი როგორც სტომატოლოგიური ჭყლეტვა, ხდება, როდესაც ყბაში არ არის საკმარისი ადგილი ყველა ფრჩხილის სწორად განლაგებისათვის. ეს შეიძლება გამოიწვიოს ფრჩხილების გადაფარება, მოქცევა ან განლაგების შეცვლა. სტომატოლოგიური ჭყლეტვა შეიძლება გამომწვდოს სხვადასხვა მკურნალობის ვარიანტების მეშვეობით, დამოკიდებულია სერიოზულობაზე და პირად ფაქტორებზე. აქ არის რამდენიმე საერთო მკურნალობის ვარიანტი გაჭიმული ფრჩხილების:
- 1. ბრეკები: ტრადიციული ბრეკები არის საერთო და ეფექტური მკურნალობა სტომატოლოგიური ჭყლეტვისთვის. ისინი იყენებენ ბრაკეტებს და მავთულებს ფრჩხილების თანდათანობით სწორი პოზიციების გადასატანად. ბრეკები შეუძლია მოაწესრიგოს როგორც მსუბუქი, ასევე სერიოზული შემთხვევები და საშუალებას აძლევს ზუსტი კონტროლის განხორციელებას ფრჩხილების გადაადგილებისას.
- 2. გამჭვირვალე ალაინერები: გამჭვირვალე ალაინერები, როგორიცაა Invisalign, პოპულარული ალტერნატივაა ბრეკების მიმართ სტომატოლოგიური ჭყლეტვის მკურნალობისათვის. ეს კეროგენური, გამჭვირვალე ფირფიტები ატარებენ ფრჩხილებზე და ყოველ რამდენიმე კვირაში ცვლიან მათ, რათა მოაწესრიგოს ფრჩხილები. გამჭვირვალე ალაინერები მოსახსნელია, თითქმის უხილავია და უზრუნველყოფს გლუვ იძლება პირადი ჰიგიენის შენარჩუნებას.
- 3. ფრჩხილების ამოღება: სერიოზული სტომატოლოგიური ჭყლეტვის შემთხვევაში შეიძლება რეკომენდირებულია ფრჩხილების ამოღება. ერთი ან მეტი ფრჩხილის ამოღება ქმნის ადგილს დარჩენილი ფრჩხილების სწორად განლაგებისთვის. ამოღებები ჩვეულებრივ გაწვდილია სტრატეგიულად, თუმცა ფრჩხილების მდებარეობისა და ჯანმრთელობის ფაქტორებზე გათვალისწინებით.
- 4. ინტერპროპსიმალური შემცირება: ინტერპროპსიმალური შემცირება, ასევე ცნობილი როგორც ემალის პლასტიკა ან სლენდერიზაცია, მოიცავს პატარა რაოდენობის ემალის ყურადღებით მოცილებას ფრჩხილების შორის დამატებითი ადგილის შექმნისათვის. ეს ტექნიკა შეიძლება დაეხმაროს მსუბუქ ჭყლეტვას და გაუმჯობესოს ფრჩხილების ალაინმენტი.
- 5. პალატალური გაფართოება: პალატალური გაფართოება გამოიყენება, როდესაც სტომატოლოგიური ჭყლეტვა გამოწვეულია ვიწრო ზედა ყბით. ეს მკურნალობა ფართოვებს palate-ს მეტი ადგილის შესაქმნელად ფრჩხილების სწორი განლაგებისათვის. ხშირად რეკომენდირებულია ბავშვებისათვის, რომელთა ყბები ჯერ კიდევ ვითარდება, მაგრამ შესაძლებელია შესრულდეს ზრდასრულებზეც გარკვეულ შემთხვევებში.
- 6. რეტეინერები: ორთოდონტიული მკურნალობის დასრულების შემდეგ, რეტეინერები ჩვეულებრივ იყენებენ ახალი ფრჩხილების ალაინმენტის შენარჩუნებისთვის. რეტეინერები შეიძლება იყოს მოსახსნელი ან მუდმივად (ფრჩხილების უკანა მხარეს ჩამაგრებული) და ატარებენ ფრჩხილების თავიდან თავდაპირველ პოზიციებზე დაბრუნების თავიდან ასაცილებლად.
სასურველი მკურნალობის ვარიანტი გაჭიმული ფრჩხილებისთვის დამოკიდებულია ჭყლეტვის სერიოზულობაზე, პაციენტის ასაკზე, საერთო სტომატოლოგიურ ჯანმრთელობაზე და პიროვნულ პრეფერენციებზე. საუკეთესოა კონსულტაცია ორთოდონტთან, რომელიც შეაფასებს თქვენს კონკრეტულ შემთხვევაში, განიხილავს მკურნალობის ვარიანტებს და რეკომენდაციას გაწვდოს ყველაზე შესაფერისი მიდგომა სტომატოლოგიური ჭყლეტვის დასაწყვეტად და სწორი, ჯანმრთელი ღიმილის მისაღწევად.
